SERVICES

診療案内

~ 予約優先制 ~

初診・急患の患者さまは、随時受け付けております。あらかじめお電話を頂ければ、その日の空き時間をお伝えいたします。
ご予約のない場合は、ご予約の患者さまが優先となりますので、多少の待ち時間が発生することをご了承ください。

来院にあたり、初診時・月初めには必ずマイナンバーカードまたは資格確認書をご持参ください。
ご予約は、TEL または WEB にて受け付けしております。

歯科矯正

「アッ その癖 歯並びが危ない!」

お子様がこのような癖をしていませんか?

唇をかむ

肘をつく

指しゃぶり

歯並びは、遺伝的要因だけではなく、小さい頃からの癖や、毎日の姿勢など様々な要因が影響します。
早めのアドバイスにより、不正な歯並びや噛みあわせを予防できることもあります。

当医院では、全部の歯並びを治す全顎矯正から、比較的お値段がお安くできる低学年時に限られた部分的な矯正も行っております。

また矯正歯科治療は、大人の方でも十分治療可能ですので、年齢が遅すぎることもありません。

歯科医師にお気軽にご相談ください。お電話(0575-35-2030) または WEB にてご予約の上、ご来院下さい。

矯正装置

リンガルアーチ

床拡大装置

ブラケット

成人用マウスピース矯正

小児用マウスピース矯正

インプラント治療

インプラント治療とは、歯の抜けたところにインプラント(人工歯根)を埋め込み、人工の歯をその上に取り付ける治療法です。
埋め込まれたインプラントは骨と結合してしっかりと固定されます。
自分の歯に近い感覚でお食事を楽しめます。
ご相談だけでも承りますので、お気軽にご来院下さい。

インプラントの手順

歯が無い状態

インプラントを埋め込み、縫合

アバットメント(支台)を装着、縫合

人工歯を装着

インプラントの構造

訪問歯科診療

通院が困難な方のご自宅に伺い、歯科治療を行っております。
訪問診療には、往診と口腔ケア(お口のお手入れ)の2種類があります。

往診

歯が痛い、入れ歯の具合が悪い、など治療が必要な場合は歯科医師が往診に伺います。
ご自宅だけでなく、施設入居先、入院中の病院への訪問も承っております。

口腔ケア

ご自宅に歯科医師や歯科衛生士が定期的に訪問し、ご家族の代わりに歯磨きや義歯の
清掃を行います。また日常的なお口のお手入れ方法を指導致します。
介護が必要な方の口腔ケアは、誤嚥性肺炎の予防のためにとても重要です。
お悩みがありましたら、お気軽にご相談ください。

当院は美濃市立美濃病院と医科歯科連携を行っており、入院中口腔内に問題が生じている患者様に対して、医科からの依頼を受けて訪問歯科診療を行っております。

訪問診療専用の持ち運び可能な機器

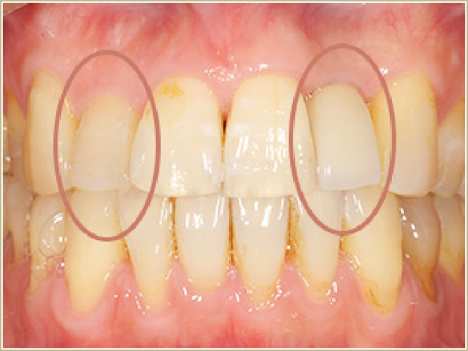
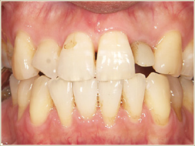
審美歯科

矯正治療はお金も期間もかかる。お口に装置をはめたくない。

そんな方にお勧めです。気になる前歯だけを治して素敵な笑顔を作りませんか。

術前

根管治療後、メタルボンドクラウンを装着(治療期間2ヶ月)

小児歯科

当院では女性の歯科医師が常駐しており、歯科治療が初めてのお子様でも安心して通っていただけます。
歯医者さんは楽しいと感じてもらえるように、年齢に合わせて工夫をしながら治療を進めています。

乳歯はいずれ抜ける歯だからと放っておいていいわけではありません。
虫歯によって永久歯がうまく萌えず歯並びが悪くなったりする場合があります。
小児歯科では、歯並びのアドバイスも致します。

虫歯が生じる環境は、子供の頃の食生活や歯磨き習慣が大きく影響しています。
お子さんの大事な歯を守るために予防歯科にも力を入れています。

ホワイトニング

虫歯や歯周病予防を目的に、歯科医院でメンテナンスを受けることは一般的なこととなりました。
当院では『病気にならないための予防』からさらに一歩進んだ『美しく健康な口元をつくること』を目的としたホワイトニングを行っております。

ホワイトニングは、専用の薬剤を塗布することで、歯を削らずに色素を分解し、透明感や光沢のある自然な白さを引き出します。
すべてのホワイトニングにおいて、カウンセリングと説明を行った上で実施しておりますので、ご安心ください。

● オフィスホワイトニング

歯科医院にて歯科衛生士が施術を行います。(1時間〜1時間半)

1度の施術で効果を実感できます。(個人差があります)

上下顎セット 19,800円(税込)

上顎または下顎 15,400円(税込)

● ホームホワイトニング

お家でご自分のペースで気軽にホワイトニングができます。

型取りをして作製したカスタムトレーに薬液を注入し、1日2時間使用します。少しづつ白くなっていくため、効果が長持ちします。

上下顎セット 26,400円(税込)

上顎または下顎 18,700円(税込)

●デュアルホワイトニング

オフィスとホームの両方を組み合わせて行います。

上下顎セット 40,700円(税込)

上顎または下顎 29,700円(税込)

義歯

入れ歯で思うように噛めない。話がしずらい。
今お使いの義歯の状況をよく把握し、ご要望をしっかりお聞きしながらベストな義歯を作製致します。
入れ歯が壊れてお困りの患者さまは技工士がその日のうちに入れ歯を治しますのでご安心ください。

部分入れ歯

● 保険適用

保険義歯

● 保険適用外(自由診療)

ノンクラスプ義歯

金属のバネが気になる方にお勧めです。

総入れ歯

● 保険適用

保険義歯

● 保険適用外(自由診療)

総入れ歯 金属床義歯

上あご部分が金属で薄くできていますので、 丈夫でお口の中が広く感じます。
温かいもの、冷たいものが感じやすくお食事 が美味しくいただけます。

インプラント義歯

● 保険適用外(自由診療)

入れ歯が動いてお困りの方にお勧めです。
インプラント(人工歯根)を骨の中に埋め込み、その上に義歯を接合するタイプのものです。

一般歯科

虫歯や歯周病の治療を行います。
当院では患者さまのご希望に沿った治療内容を心掛けておりますので、お気軽にご相談ください。

近年は、歯が痛くなってから歯科医院に行くと言う考え方から、健康な歯を維持するために歯医者に行くという考え方が浸透し、予防のために歯科医院へ通われる方が増えています。
当院では、予防歯科の概念に基づいて、定期的な歯科健診、PMTC、フッ素塗布、ブラッシング指導を行っております。
あなたの大事な歯を1本でも多く残せるように、サポートさせて頂きます。

WEB予約

ご予約・お問い合わせ

0575-35-2030